Bệnh nhân cho biết lý do không phẫu thuật khi ấy bởi u nhỏ không gây khó chịu. Gần đây bà khó thở, sức khỏe giảm sút, sụt 5 kg. Bác sĩ Bệnh viện Ung bướu Hà Nội khám ghi nhận lồng ngực phải bệnh nhân có khối đặc kích thước 20x15 cm đè xẹp phổi, thâm nhiễm trung thất, thành ngực. Sinh thiết khối u kết quả giải phẫu bệnh là u xơ đơn độc.
Bác sĩ tiên lượng ca mổ lấy u nhiều khó khăn do bệnh nhân có thể trạng gầy yếu, khối u lớn giàu mạch nuôi chiếm gần hết khoang lồng ngực. Ngày 30/9, TS.BS. Phan Lê Thắng, Trưởng khoa Ngoại Theo yêu cầu, Bệnh viện Ung Bướu Hà Nội, cho biết êkíp phẫu thuật hội chẩn tính toán kỹ phương án mổ, khống chế nguồn mạch máu nuôi để hạn chế mất máu cho bệnh nhân. Khối u được bóc tách thành công, nặng hơn 2 kg.
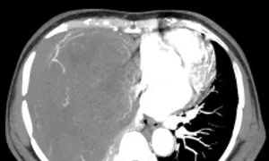
Hình ảnh khối u choán hết khoang lồng ngực của bệnh nhân. Ảnh: Bệnh viện cung cấp
U xơ đơn độc màng phổi (Solitary Fibrous Tumor of the Pleura – SFTP) là một loại khối u hiếm gặp, phát sinh từ tế bào trung mô của màng phổi. Phần lớn u xơ đơn độc màng phổi là lành tính tuy nhiên khoảng 12-22% trường hợp có thể trở thành ác tính.
Triệu chứng u xơ đơn độc màng phổi thường không rõ ràng và chỉ xuất hiện khi khối u lớn, chèn ép gây khó thở, đau ngực hoặc ho kéo dài. Các thăm dò hình ảnh có vai trò quan trọng trong chẩn đoán, u xơ đơn độc màng phổi xuất hiện dưới dạng khối mờ, đơn độc trên X-quang hoặc CT ngực. Khối u có thể có đường bờ rõ nét, hình tròn hoặc bầu dục và đôi khi có cuống. Sinh thiết khối u làm giải phẫu bệnh có vai trò quan trọng, thường được tiến hành trước khi điều trị giúp xác định chính xác bản chất của khối u.
Phẫu thuật đóng vai trò quyết định trong việc điều trị u xơ đơn độc màng phổi, là phương pháp duy nhất giúp loại bỏ hoàn toàn khối u và giảm nguy cơ tái phát. Trong hầu hết trường hợp, phẫu thuật triệt để cắt bỏ khối u mang lại cơ hội sống cao cho bệnh nhân. Bệnh nhân cần theo dõi lâu dài vì nguy cơ tái phát hoặc chuyển thành ác tính. Khi có chỉ định điều trị, bệnh nhân không nên chần chừ, bỏ lỡ thời gian vàng chữa bệnh.
Lê Nga